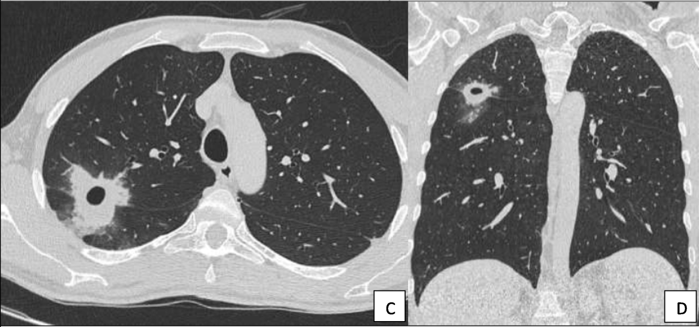
Fig. 2From: Severe pneumonia with formation of a pulmonary cavity associated with long-term rituximab therapy in multiple sclerosisInvolvement of the right upper and inferior lung lobe shown in chest CT in transverse (c) and coronal view (d)Back to article page